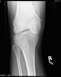
Pellegrini Stieda - The Knee Resource Medial Knee Injury Medial Collateral Ligament - Pain and restriction of movements.

Pellegrini Stieda - The Knee Resource Medial Knee Injury Medial Collateral Ligament - Pain and restriction of movements.. With the ayurvedic treatment, it is possible to avoid surgery. Pain and restriction of movements. Pellegrini stieda syndrome is a medical problem which is characterized by pain, swelling and inflammation in the knee. Learn about this soft tissue calcification around the knee joint. It is likely that this patient has been an active sportsman in the past.

There is evidence of osteoarthritis. Pain and restriction of movements. Pellegrini stieda syndrome is a medical problem which is characterized by pain, swelling and inflammation in the knee. The diagnosis pellegrini stieda disease was made. With the ayurvedic treatment, it is possible to avoid surgery.

Medial Ligament Fifa Medical Platform
Medial Ligament Fifa Medical Platform from www.fifamedicalnetwork.com
Pellegrini stieda syndrome is a medical problem which is characterized by pain, swelling and inflammation in the knee. It is a common incidental finding on knee radiographs. Pain and restriction of movements. The cause of the knee effusion is unknown. There is a moderately large knee effusion. The diagnosis pellegrini stieda disease was made. Is the presence of a radiological finding of calcification on the medial side of the knee as a consequence. It is likely that this patient has been an active sportsman in the past.

It is a common incidental finding on knee radiographs.

Pain and restriction of movements. The cause of the knee effusion is unknown. It is likely that this patient has been an active sportsman in the past. #foamed #foamrad #radiology #rad #elearnrad #voxelz #varunbabu #drbabu. Pellegrini stieda syndrome is a medical problem which is characterized by pain, swelling and inflammation in the knee. Most of the cases of pellegrini stieda lesions are not symptomatic, and pellegrini stieda syndrome is said to exist when the lesion becomes symptomatic i.e. Ayurvedic treatment is the natural way to treat pellegrini stieda syndrome. Is the presence of a radiological finding of calcification on the medial side of the knee as a consequence. The diagnosis pellegrini stieda disease was made. It is a common incidental finding on knee radiographs. With the ayurvedic treatment, it is possible to avoid surgery. This occurs due to the deposition of calcium on the inner side of the knee. Learn about this soft tissue calcification around the knee joint.

Pellegrini stieda syndrome is a medical problem which is characterized by pain, swelling and inflammation in the knee. #foamed #foamrad #radiology #rad #elearnrad #voxelz #varunbabu #drbabu. There is evidence of osteoarthritis. Ayurvedic treatment is the natural way to treat pellegrini stieda syndrome. This occurs due to the deposition of calcium on the inner side of the knee.

Orif Lag Screw For Lateral Medial Femoral Epicondyle Fracture
Orif Lag Screw For Lateral Medial Femoral Epicondyle Fracture from resources.aofoundation.org
With the ayurvedic treatment, it is possible to avoid surgery. The diagnosis pellegrini stieda disease was made. It is likely that this patient has been an active sportsman in the past. The cause of the knee effusion is unknown. Learn about this soft tissue calcification around the knee joint. Most of the cases of pellegrini stieda lesions are not symptomatic, and pellegrini stieda syndrome is said to exist when the lesion becomes symptomatic i.e. There is a moderately large knee effusion. It is a common incidental finding on knee radiographs.

Pain and restriction of movements.

Pellegrini stieda syndrome is a medical problem which is characterized by pain, swelling and inflammation in the knee. The diagnosis pellegrini stieda disease was made. Learn about this soft tissue calcification around the knee joint. The cause of the knee effusion is unknown. There is a moderately large knee effusion. Pain and restriction of movements. Is the presence of a radiological finding of calcification on the medial side of the knee as a consequence. It is a common incidental finding on knee radiographs. Most of the cases of pellegrini stieda lesions are not symptomatic, and pellegrini stieda syndrome is said to exist when the lesion becomes symptomatic i.e. #foamed #foamrad #radiology #rad #elearnrad #voxelz #varunbabu #drbabu. It is likely that this patient has been an active sportsman in the past. There is evidence of osteoarthritis. This occurs due to the deposition of calcium on the inner side of the knee.

With the ayurvedic treatment, it is possible to avoid surgery. There is evidence of osteoarthritis. The diagnosis pellegrini stieda disease was made. Pellegrini stieda syndrome is a medical problem which is characterized by pain, swelling and inflammation in the knee. Most of the cases of pellegrini stieda lesions are not symptomatic, and pellegrini stieda syndrome is said to exist when the lesion becomes symptomatic i.e.

33 M 7 Metaphyseal Avulsion
33 M 7 Metaphyseal Avulsion from resources.aofoundation.org
This occurs due to the deposition of calcium on the inner side of the knee. The cause of the knee effusion is unknown. Ayurvedic treatment is the natural way to treat pellegrini stieda syndrome. Most of the cases of pellegrini stieda lesions are not symptomatic, and pellegrini stieda syndrome is said to exist when the lesion becomes symptomatic i.e. Pellegrini stieda syndrome is a medical problem which is characterized by pain, swelling and inflammation in the knee. With the ayurvedic treatment, it is possible to avoid surgery. The diagnosis pellegrini stieda disease was made. Pain and restriction of movements.

This occurs due to the deposition of calcium on the inner side of the knee.

The cause of the knee effusion is unknown. Most of the cases of pellegrini stieda lesions are not symptomatic, and pellegrini stieda syndrome is said to exist when the lesion becomes symptomatic i.e. There is evidence of osteoarthritis. Ayurvedic treatment is the natural way to treat pellegrini stieda syndrome. The diagnosis pellegrini stieda disease was made. Learn about this soft tissue calcification around the knee joint. Pellegrini stieda syndrome is a medical problem which is characterized by pain, swelling and inflammation in the knee. Pain and restriction of movements. #foamed #foamrad #radiology #rad #elearnrad #voxelz #varunbabu #drbabu. It is a common incidental finding on knee radiographs. It is likely that this patient has been an active sportsman in the past. Is the presence of a radiological finding of calcification on the medial side of the knee as a consequence. With the ayurvedic treatment, it is possible to avoid surgery.

The cause of the knee effusion is unknown pellegrini. Most of the cases of pellegrini stieda lesions are not symptomatic, and pellegrini stieda syndrome is said to exist when the lesion becomes symptomatic i.e.

Posting Komentar

Lebih baru Lebih lama

Facebook